It is a desire of all patients to walk out of the surgery with a tooth when they've just had one taken out because it could no longer be saved. This can now be achieved in most cases and its most crucial for the front tooth. Research has shown that as soon as a tooth is extracted, the supporting gum starts to collapse and the bone starts to resorbe. In most cases, if left long enough there wont be enough bone and additional surgeries needs to be done including bone grafting and plastic gum surgeries.
By placing an implant and tooth immediately we can preserve the look of the gum and keep the bone from resorbing. Dr Monshizadeh has extensive training in this field and with an expert onsite technician can also use in some instances the patients actual tooth, teeth to restore whats lost.
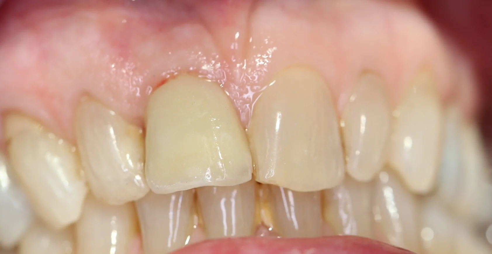
This is a case of a patient that was referred to us as her front right central tooth that was infected and needed to be extracted. Patient was very concerned about wearing a plate and was very keen on following our immediate implant protocol. With thr use of the latest implant and surgical tecniques, Dr Monshizadeh was able to give the patient a tooth almost a few hours after having it extracted.
Tooth is gently extracted
Implant site is prepared and implant inserted
Impression is taken
Dental Lab get the tooth back in a few hours
Tooth inserted on the implant just a few hours after extraction
